Le kyste pilonidal
Qu'est-ce qu'un kyste pilonidal ?
Le kyste pilonidal, aussi appelé sinus pilonidal ou kyste sacro-coccygien, est une cavité qui se forme sous la peau dans le sillon interfessier, près du coccyx.
Cette poche sous-cutanée renferme généralement des poils, des débris cutanés et parfois du pus lorsqu’elle est infectée. Elle communique avec la surface de la peau par un ou plusieurs petits orifices appelés fossettes pilonidales.

C’est une pathologie bénigne mais fréquente, dont l’incidence est estimée entre 25 et 56 cas pour 100 000 habitants par an. En France, plus de 10 000 patients sont pris en charge en urgence chaque année pour un kyste pilonidal. Non traité, il peut altérer significativement la qualité de vie : douleurs chroniques, impossibilité de s’asseoir, écoulements, arrêts de travail répétés.
Kyste, sinus, abcès : quelles différences ?
Ces termes décrivent des stades différents de la pathologie, que les médecins regroupent sous le terme de « maladie pilonidale« .
- La fossette pilonidale est le stade initial : un ou plusieurs petits orifices dans la peau, souvent invisibles, sans douleur ni inflammation.
- Le sinus pilonidal désigne le trajet sous-cutané formé lorsque des poils s’infiltrent sous la peau et déclenchent une réaction inflammatoire locale. Un granulome, c’est-à-dire une coque cicatricielle, se forme progressivement autour de ces corps étrangers.
- Le kyste pilonidal correspond à la cavité kystique contenant poils, liquide ou tissu inflammatoire.
- L’abcès pilonidal est la complication infectieuse aiguë : la cavité se remplit de pus sous pression, provoquant une douleur intense.
- Enfin, la fistule pilonidale décrit les trajets qui se creusent sous la peau au fil des infections répétées, pouvant s’étendre latéralement.
Les profils les plus touchés
Le kyste pilonidal concerne principalement les hommes jeunes entre 15 et 35 ans. L’âge moyen au diagnostic est de 21 ans chez les hommes et 19 ans chez les femmes. La pathologie est quasi inexistante avant la puberté et rare après 45 ans.
Les hommes représentent environ 75 % des patients, deux à quatre fois plus touchés que les femmes, en raison d’une pilosité naturellement plus abondante et d’un sillon interfessier plus profond et plus exposé aux frottements.
Les profils à risque plus élevé sont les personnes en surpoids, les métiers imposant de longues heures en position assise (chauffeurs, télétravailleurs, étudiants), les personnes à pilosité abondante avec des poils épais et raides, et celles ayant des antécédents familiaux.
Une étude portant sur 322 patients a montré que 38 % d’entre eux avaient un parent au premier degré ayant souffert de la même pathologie.
Les symptômes du kyste pilonidal

La description clinique du kyste pilonidal est très variable. Certains patients ne ressentent rien pendant des années, d’autres sont confrontés à une douleur insupportable dès le premier épisode.
On repère généralement une boule dure ou molle localisée en haut du sillon interfessier, voire en bas du dos selon la taille de la coquille kystique. Elle peut aussi se situer en profondeur, près de l’anus.
Forme asymptomatique
De petits orifices cutanés dans le sillon interfessier, contenant parfois quelques poils, sans aucune douleur ni écoulement. Découverte souvent fortuite lors d’un examen médical. Aucun traitement n’est nécessaire à ce stade : les recommandations françaises et internationales sont unanimes sur ce point.
Forme aiguë
Apparition brutale d’une tuméfaction douloureuse, rouge, chaude et tendue dans la région sacro-coccygienne. La douleur est vive, pulsatile, accentuée par la position assise, parfois accompagnée de fièvre. Un écoulement purulent peut survenir si l’abcès se perce spontanément, ce qui soulage la douleur mais ne résout pas la maladie. Sans traitement complémentaire, le risque de récidive du kyste pilonidal dans les deux ans est d’environ 40 %.
Forme chronique
Suintement quasi permanent, séro-purulent ou séreux, tachant les sous-vêtements, accompagné de démangeaisons et d’une sensation d’humidité persistante. La douleur est souvent modérée, mais une zone dure et fibreuse est palpable sous la peau.
Certains jeunes adultes tolèrent ces symptômes pendant des années à tort : la cavité s’étend progressivement et la prise en charge tardive complique le traitement.
Forme récidivante
Réapparition des symptômes après un traitement, qu’il s’agisse d’un simple drainage ou d’une chirurgie. Elle touche entre 10 et 30 % des patients selon les techniques utilisées, et est souvent liée à des facteurs de risque non corrigés : tabagisme, surpoids, absence de dépilation locale postopératoire.
Les causes du kyste pilonidal
Il existe de nombreux facteurs qui peuvent causer un kyste pilonidal. Chaque individu est différent, et il est difficile de déterminer avec précision ce qui a permis la formation du kyste.
Les médecins affirment parfois, à tort, que la pilosité est la seule responsable de l’infection. Même si elle peut y contribuer, c’est loin d’être la seule cause.

La pilosité dans le sillon interfessier
Les frottements répétés fragilisent les tiges pilaires qui se cassent et deviennent pointues. La peau du sillon interfessier, soumise à une pression et à des forces de cisaillement constantes, peut présenter des micro-fossettes favorisant la pénétration de ces fragments sous le derme.
Une fois introduit, le poil agit comme un corps étranger : l’organisme déclenche une réaction inflammatoire qui forme progressivement un granulome. Si des bactéries colonisent la zone, l’abcès se constitue. La transpiration excessive et la macération aggravent ce mécanisme en favorisant la prolifération bactérienne.
Les facteurs génétiques
Une prédisposition familiale est clairement documentée, avec environ 38 % des patients ayant un proche touché par la même pathologie. Des études suggèrent une transmission autosomique dominante à pénétrance variable, portant sur des caractéristiques héréditaires comme la texture des poils, la profondeur du sillon interfessier et la production de sébum. Les populations caucasiennes sont davantage touchées que les populations asiatiques ou africaines.
Le traumatisme au coccyx
Un traumatisme direct (chute sur les fesses) ou des microtraumatismes répétés (conduite tout-terrain, moto, équitation) ne créent pas un kyste à eux seuls, mais peuvent déclencher ou aggraver l’inflammation d’un sinus déjà existant. Le mécanisme est simple : l’oedème local obstrue les fossettes, piège les bactéries et crée les conditions de l’infection. À ne pas confondre avec la coccygodynie, douleur purement osseuse ou ligamentaire du coccyx.
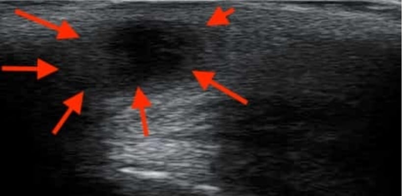
Le diagnostic du kyste pilonidal

Le diagnostic est avant tout clinique : il repose sur l’interrogatoire et l’examen physique, sans examens biologiques ni imagerie dans la grande majorité des cas. Le médecin recherche la présence d’un ou plusieurs orifices dans la ligne médiane du sillon interfessier, à environ cinq centimètres au-dessus de la marge anale, éventuellement accompagnés d’une partie indurée ou d’un écoulement à la pression.
L’imagerie (échographie ou IRM périnéale) est réservée aux formes complexes ou atypiques, notamment lorsqu’un doute existe avec une fistule anale ou une hidradénite suppurée (maladie de Verneuil). Ces deux pathologies peuvent mimer un kyste pilonidal mais nécessitent un traitement différent. En cas de doute, l’avis d’un chirurgien colorectal ou d’un proctologue est recommandé.
Le traitement du kyste pilonidal
Un kyste pilonidal asymptomatique ne justifie aucune intervention. Dès que des symptômes apparaissent, le traitement est dans la grande majorité des cas chirurgical.
Les antibiotiques seuls ne guérissent pas la maladie : ils calment temporairement une infection, mais le sinus et la cavité persistent et se réinfecteront.
Avant toute chirurgie programmée, l’arrêt complet du tabac est un prérequis non négociable, et l’opération doit se pratiquer en dehors de tout épisode infectieux actif.
Chirurgie classique par exérèse
L’exérèse consiste à retirer chirurgicalement la cavité kystique et les trajets fistuleux. La plaie est ensuite laissée ouverte pour cicatriser naturellement, avec des soins infirmiers quotidiens par méchage pendant deux à six mois. Technique fiable mais contraignante, elle reste la référence pour les formes étendues ou complexes.
Chirurgie par lambeau
Pour les formes récidivantes ou les tissus trop abîmés, le chirurgien déplace un volet de peau voisin pour couvrir la plaie après exérèse, en plaçant la cicatrice hors de la ligne médiane (lambeau de Limberg, plastie de Karydakis). Cicatrisation plus rapide, taux de récidive plus faible, mais hospitalisation de quelques jours et expertise chirurgicale nécessaire.
Traitement mini-invasif par laser SiLaC
Une fibre laser est introduite dans le sinus pour détruire thermiquement sa paroi interne, sans exérèse tissulaire large. Douleur minime, reprise du travail en une à deux semaines, soins postopératoires simplifiés.
Une méta-analyse de 2024 portant sur plus de 1 200 patients retrouve un taux de récidive à un an de 7,6 %, comparable à la chirurgie classique. Technique encore peu disponible en France mais en fort développement dans les centres spécialisés.
Traitement endoscopique EPSiT
Un fistuloscope de 3 mm est introduit dans l’orifice du sinus pour retirer poils et débris sous vision directe, nettoyer les parois et détruire le tissu granulomateux, sans incision large. Retour au travail en deux à trois jours, taux de satisfaction de 97 % dans les études prospectives, taux de récidive de 5 à 10 %. Particulièrement adapté aux formes primaires et aux adolescents.
Les solutions naturelles
Dans certains cas, il existe des moyens de traiter le kyste pilonidal sans se faire opérer. Cela ne fonctionne pas systématiquement, mais des remèdes comme l’argile verte ou les huiles essentielles peuvent totalement détruire le kyste si elles sont bien utilisées.
Comment s'asseoir sans douleur ?

Que ce soit en attendant une opération ou pendant la convalescence post-opératoire, la position assise est souvent le calvaire quotidien des personnes atteintes d’un kyste pilonidal. Chaise de bureau, siège de voiture, canapé : chaque appui sur la région sacro-coccygienne peut devenir une source de douleur intense et ralentir la cicatrisation.
Le coussin orthopédique à décharge coccygienne est dans ce contexte un accessoire indispensable. Conçu spécifiquement pour les patients souffrant de kyste pilonidal, il repose sur un principe simple : son creux arrière supprime tout point de compression sur la plaie ou la zone inflammée, soulageant immédiatement la douleur et protégeant les tissus. En parallèle, sa forme favorise le retour veineux, ce qui améliore l’irrigation sanguine locale et accélère la cicatrisation.
En mousse viscoélastique à mémoire de forme, il s’adapte à la morphologie de chaque utilisateur sans s’affaisser. Sa housse amovible et lavable et son fond antidérapant en font un objet transportable partout : au bureau, en voiture, au restaurant, au cinéma.
Le risque de récidive du kyste pilonidal
La récidive est la principale difficulté du kyste pilonidal. Les taux varient de moins de 5 % avec les meilleures techniques chirurgicales à plus de 30 % avec d’autres approches. La fermeture en ligne médiane est aujourd’hui abandonnée car son taux de récidive peut dépasser 67 % à vingt ans.
Le tabac est le facteur de risque le plus important et le mieux documenté : il altère la cicatrisation cutanée, fragilise la réponse immunitaire locale et multiplie le risque de récidive. L’arrêt complet est un prérequis absolu avant toute réintervention.
Le surpoids, la sédentarité et l’absence de dépilation locale après la chirurgie sont les autres facteurs clés. Une épilation laser de la région sacro-coccygienne, prescrite par le chirurgien, réduit significativement le risque de récidive et peut faire l’objet d’une demande de prise en charge auprès de la CPAM.
Trouver un chirurgien spécialisé dans le kyste sacro-coccygien
La prise en charge des formes complexes ou récidivantes nécessite un chirurgien habitué à cette pathologie. Tous les chirurgiens viscéraux peuvent traiter un kyste pilonidal, mais tous ne pratiquent pas les techniques mini-invasives comme le laser SiLaC ou l’EPSiT.
Parmi les centres reconnus en France : le Centre Lyonnais de Chirurgie Digestive (plus de 2 000 procédures laser depuis 2019), l’Institut de Proctologie de l’Hôpital Saint-Joseph à Paris, et la Polyclinique de Picardie à Amiens.
FAQ sur le kyste pilonidal : questions fréquentes
- Les témoignages de patients ayant un kyste pilonidal tendent à confirmer qu’il est possible de traiter la pathologie sans opération. Néanmoins, il est important de consulter si l’inflammation est trop importante.
- Non. Un abcès peut se percer spontanément et soulager momentanément la douleur, mais la cavité persiste et se réinfectera sans doute.
- Deux à six mois après exérèse classique. Deux à quatre semaines après laser ou EPSiT.
- Oui. La chirurgie est prise en charge par l’Assurance Maladie. L’épilation laser prescrite en prévention des récidives peut faire l’objet d’un accord préalable CPAM.
- La dégénérescence maligne est exceptionnelle, limitée aux inflammations chroniques très prolongées sur plusieurs décennies. Dans la pratique courante, c’est une pathologie bénigne sans risque cancéreux significatif.
On ne peut pas toujours l’éviter. Hygiène rigoureuse du sillon interfessier, activité physique régulière, contrôle du poids et arrêt du tabac réduisent le risque et améliorent les chances de guérison après traitement.
